mercredi 4 juillet 2012

Top 15 des objets retrouvés dans un rectum



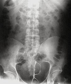
Avant de partir en vacances pour quelques semaines, je vous laisse un petit article où vous n'apprendrez pas grand chose, pour une fois, à part peut être à regarder où vous vous asseyez quand vous êtes à poil. Souvent raillé, la profession de proctologue est sûrement celle qui est le plus confronté à la mauvaise foi de ces patients. Il suffit juste de se demander comment ces derniers ont pu expliquer le résultat des radios qui suivent pour s'en convaincre. 

A vous de retrouver de quoi il s'agit! Pour connaître la réponse, surlignez avec votre souris l'espace entre les crochets.

1.

[Barbie]

2.

[Bouteille de bière]

 3.

[Buzz l’éclair]

 4.

[Iphone]

 5.

[Pistolet]

6.

[Paire de lunette]

 7.

[Cassette audio]

8.

[Fourchette]

 9.

[Couteau]

10.

[Ampoule]

11.

[Rallonge électrique]

  12.

[Salière]

  13.

[Batteur à œuf]

 14.

[Télécommande]

15.

[Tasse]

Le bonus Kulturel:






Source:laboiteverte Gentside

28 commentaires:

  1. Les 2 dernières ont été les plus difficiles à deviner pour moi.

    RépondreSupprimer
  2. J'ai beau réfléchir encore et encore, je ne vois pas commentaire entrer une ampoule sans la casser...

    RépondreSupprimer
  3. *comment faire (saleté de correcteur automatique)

    RépondreSupprimer
  4. J'ai beau réfléchir encore et encore, je ne vois pas commentaire entrer une ampoule sans la casser... "


    >> à mon avis avec un canal bien entrainé ça peut passer

    RépondreSupprimer
  5. titi et godmiché4 juillet 2012 à 23:25

    pour l'ampoule, le gars a pris le soin de la faire rentrer par le bout le plus etroit. Ensuite avec un peu de patience et beaucoup de vaseline....

    RépondreSupprimer
  6. Pour ma part, c'est plutôt au sujet de la fourchette mais surtout du couteau... Comment a il pu le faire ?!

    RépondreSupprimer
  7. En voyant ça je me demande pourquoi ?!? Une amie interne en médecine, elle a vu un pot de cornichon !

    RépondreSupprimer
  8. Pour l'avant dernier objet, je pense qu'il est plutôt dans l'estomac. Et pour approfondir le sujet, je vous conseille vivement de lire ce bouquin génial, bourré d'humour : http://amzn.to/MM00Pp

    RépondreSupprimer
  9. @ Sister of Night.

    Non je confirme la télécommande n'est pas dans l'estomac

    http://www.20min.ch/ro/news/insolite/story/30774448

    RépondreSupprimer
  10. Ces images m'inspirent quelques questions :
    1. Est-ce plus douloureux à l'entrée ou à la sortie ?
    2. S'en sort-on indemne ?
    3. Comment en arrive-t-on à s'introduire un Buzz l'Eclair dans le c.. ?
    De bien beaux clichés en tous cas !

    RépondreSupprimer
  11. Bien joué Régina ;)

    RépondreSupprimer
  12. Le mieux, ça doit être l'excuse que sortent les patients. Un truc à base de "bah, je m'suis assis et puis voilà" Ou encore "j'ai perdu l'équilibre, je suis tombé sur la télécommande"

    RépondreSupprimer
  13. Je me demande comment ils ont fait pour sortir la Barbie, vu le sens des bras !

    RépondreSupprimer
  14. Je peux emprunter vos images pour les poster ailleurs?
    Merci de me répondre

    RépondreSupprimer
    Réponses
    1. Pas de probleme. Un petit lien vers l'article pour expliquer la provenance des images est juste recommandé.

      Supprimer
    2. Pas de souci le lien est mis.
      Je vous en remercie!

      Supprimer
  15. le 13 et le 14?
    C'est quoi?

    RépondreSupprimer
  16. C'est pas possible O_0
    Quelle est l'utilité de se rentrer un Buzz l'Éclair ou un iPhone dans le c.. ?
    Je me demande comment ils ont fait pour les rentrer... et comment ils vont les sortir...

    RépondreSupprimer
  17. se faire enfiler par barbie, quelle classe :)

    RépondreSupprimer
  18. Belle collection ; cela me rappelle un de mes anciens profs spécialiste des urgences viscérales type empalements et péritonites stercorales... Car il faut rester humaniste quand on est médecin... cela ne se termine pas toujours chez le proctologue mais aux urgences puis au bloc opératoire... Donc il n'est pas honteux de se goder mais il faut se goder malin... le bon vieux godemichet non traumatique la vaseline et à défaut avoir recours au compartiment légumes de votre réfrigérateur vous évitera bien des ennuis... bye !

    RépondreSupprimer
  19. Moi je veut un iphone, je ne peut pas en avoir et yen a qui s'en mettent dans le c** ?? XD

    RépondreSupprimer
  20. La télécommande n'est clairement pas dans le rectum, même si l'article de 20minutes le dit...
    Le rectum, c'est la dernière partie de l'intestin, qui débouche dehors par l'anus.

    C'est peut-être remonté dans les intestins, et encore, je vois pas comment.

    RépondreSupprimer
  21. Pourquoi une rallonge électrique ? je vois pas l’intérêt, sauf se tenir au courant...
    Et une ampoule ? pas une lumière celui qui a fait ça...

    Ok je reviens plus jamais....

    RépondreSupprimer
  22. Un couteau?!??? Cette personne aime clairement être sodomisé xD

    RépondreSupprimer
  23. Quand tu va en tôle le temps est long téléphone Barbie tout est bon haha

    RépondreSupprimer